Najpomembnejša veja dentalne medicine je zagotovo preventiva. V našem centru poleg zobozdravnikov za vas skrbi tudi ustni higienik, ki vam bo povedal vse o ustni higieni ter pripomočkih, ki jih potrebujete za popolno očiščenje zob in obzobnih tkiv.

Preventiva-e1559028999107

Ustrezna ustna higiena je zelo pomembna, saj so v neočiščenih oblogah prisotne bakterije, ki povzročajo vnetje, resorpcijo kosti, umik dlesni, majavost in v zadnji fazi izpad zob, kar poznamo kot parodontalno bolezen. Če boste zobe ustrezno čistili ter hodili na redne letne preglede in profesionalno čiščenje, težav z vnetjem in parodontalno boleznijo zagotovo ne bo.

Preventiva

Zobni kamen

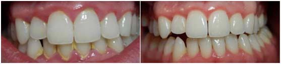
Zobni kamen ni nič drugega kot mehke obloge, ki jih nismo dobro in natančno očistili in ki zaradi mineralov iz sline okamenijo.

Zobni-kamen-e1559029481294

Okamenelih oblog sami ne moremo očistiti, kar vodi v vedno večje nabiranje oblog in kamna. V oblogah so škodljive bakterije, ki povzročajo vnetje, izgubo kosti in izgubo zob. Vneta dlesen je temno rdeča ter ob ščetkanju krvavi.

zobni-kamen
zobni-kamen1

Redno čiščenje zobnega kamna.

Profesionalno čiščenje priporočamo najmanj enkrat letno. Najprej vam bomo s pomočjo piezo ali ultrazvočnega instrumenta odstranili zobne obloge nad in pod dlesnijo, potem bomo zobe po potrebi očistili s peskalnikom in tako odstranili razne madeže, na koncu pa jih bomo s polirno pasto še spolirali. Tako bodo zobje gladki, kar bo preprečilo nabiranje oblog in olajšalo čiščenje zob doma.

Ali je čiščenje kamna lahko prepogosto?

Kamen se običajno odstranjuje enkrat letno, a če se vam nabira hitreje, je to znak, da oblog niste dobro očistili. Zato je kamen potrebno odstraniti, pa četudi to pomeni več kot enkrat letno. Ob tem vas bomo podučili o ustrezni ustni higieni, da se bo kamen čim manj nabiral in ne bo težav z vnetimi dlesnimi.

Redne kontrole

Redni pregledi pri zobozdravniku so ključ do ustnega zdravja. Paciente na kontrolo vabimo enkrat letno, tiste bolj ogrožene pa na pol leta. Pregledamo celotno ustno votlini, preverimo, če je vaša ustna higiena dovolj natančna ter ugotovimo morebitna stanja, ki zahtevajo popravilo.

Redne-kontrolE